Les facettes dentaires :améliorer votre sourire discrètement
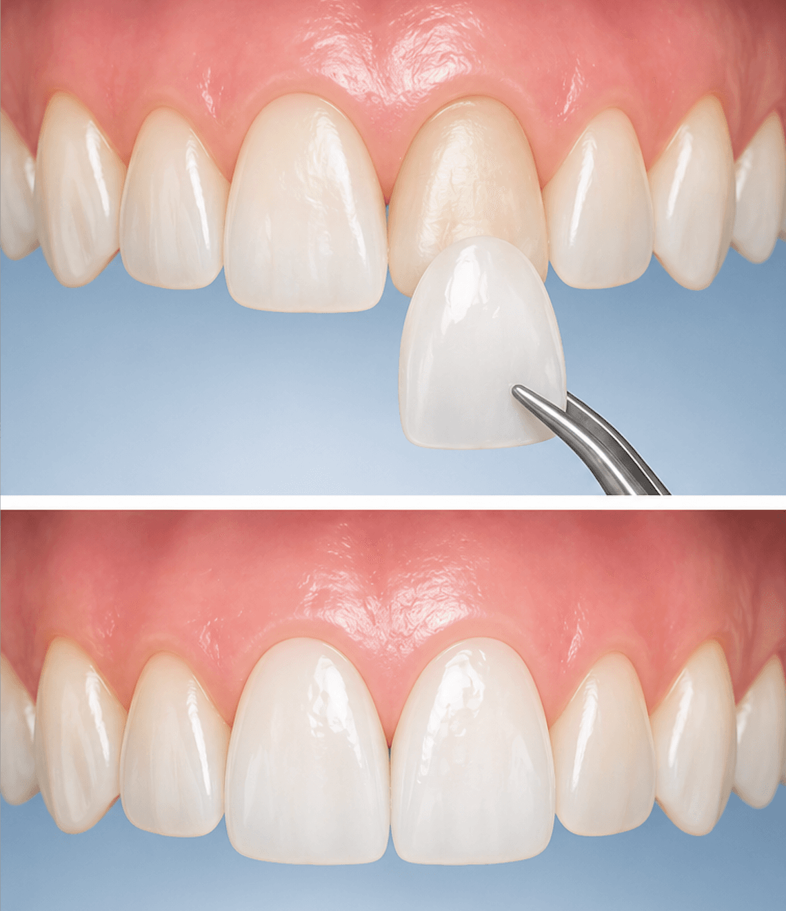
Les facettes dentaires sont aujourd’hui l’une des solutions les plus modernes pour améliorer l’esthétique du sourire. Fines pellicules en céramique réalisées sur mesure, elles sont collées sur la face visible des dents afin de corriger leur apparence tout en respectant au maximum leur structure naturelle. Le résultat est à la fois discret, harmonieux et durable.
Par Dr. Josia Gourouza

Qu’est-ce qu’une facette dentaire ?
Une facette est une fine pellicule de céramique conçue sur mesure pour s’adapter parfaitement à votre dent. Elle permet de modifier la forme, la teinte, la taille ou encore l’alignement des dents visibles, avec un rendu extrêmement naturel.
Contrairement à une couronne, la facette est très peu invasive : elle nécessite peu, voire aucune réduction de la dent dans certains cas.
Dans quels cas les facettes sont-elles indiquées ?
Les facettes sont idéales pour corriger de nombreux défauts esthétiques :
- dents jaunies ou colorées résistantes au blanchiment
- dents usées ou ébréchées
- petites malpositions
- espaces entre les dents
- dents trop petites ou asymétriques
Elles permettent une transformation globale du sourire, de façon rapide et maîtrisée.
Le résultat est indétectable : les facettes s’intègrent parfaitement au sourire et reflètent la lumière comme de véritables dents.
Chaque sourire est conçu sur mesure, en harmonie avec le visage, les lèvres et la personnalité du patient.
Un traitement précis et personnalisé
La réalisation de facettes repose sur une approche moderne et digitale :
- Analyse du sourire et de vos attentes
- Simulation du résultat (mock-up / projet esthétique)
- Préparation minimale des dents (ou pas)
- Empreinte numérique et fabrication sur mesure
- Essayage et collage définitif
Chaque étape est pensée pour garantir un résultat prédictible, esthétique et fonctionnel.
Ainsi, il est possible de s'arrêter à la simulation et prendre le temps de la réflexion avant de choisir si vous voulez aller plus loin.
Une approche moderne et conservatrice
Les facettes s’inscrivent dans une philosophie de dentisterie actuelle :
- préserver au maximum la dent naturelle
- privilégier des solutions esthétiques durables
- obtenir un résultat naturel sans surtraitement
Elles permettent de transformer un sourire tout en restant dans une approche respectueuse et mesurée.
Dentisterie Esthétique
→Facettes, blanchiment professionnel, alignement invisible. L'art de sublimer votre sourire avec des techniques de pointe et un sens aigu de l'esthétique naturelle.
Révélons votre sourire
Prenez rendez-vous pour une consultation personnalisée. Ensemble, nous définirons le parcours idéal pour atteindre vos objectifs.